En primera instancia se supo de un hombre que vivió durante años con un parásito raro en su cerebro que sólo fue descubierto después de que se quejara de un dolor de cabeza.
Los médicos extrajeron el parásito junto con un buen número de huevecillos y descubrieron que había comido una parte de la masa cerebral.
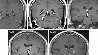
Este hombre chino en el Reino Unido experimentó una serie de debilitantes síntomas neurológicos sin origen entendido, incluyendo dolores de cabeza, pérdida de la memoria y convulsiones.
Una biopsia mostró la inflamación en el cerebro del hombre, pero no pudieron determinar la causa exacta de sus síntomas. Tras una biopsia final, los cirujanos desenterraron el origen de los problemas neurológicos del hombre: una solitaria que se había colado en el cerebro del paciente durante los últimos cuatro años.
El parásito había viajado más de 2 pulgadas de la parte derecha del cerebro a la parte izquierda, antes de ser eliminado con éxito a través de la cirugía. Ahora, el paciente está muy bien.
Popsci explica como investigadores del Wellcome Trust Sanger Institute revelaron que se trataba de una extremadamente rara especie conocida como Spirometra erinaceieuropaei.
Los investigadores esperan su información genética ayudará a los médicos a diagnosticar y tratar mejor esta infección parasitaria y otros similares en el futuro. /Con información de planetacurioso.com
2014-11-27
